Implantologie
Ob konventionell, geführt oder CAD/CAM versorgt - in der Implantologie realisieren wir im Teamwork technologisch innovative und qualitativ hochwertige Implantatprothetik. Von der Planung bis zur zahntechnischen Umsetzung der Implantatsuprakonstruktion unterstützen wir Sie mit bestem Service. Erfahrung und regelmäßige Fortbildungen im Bereich Implantologie ermöglichen uns, die Implantatlösung herzustellen, die Sie für Ihre Patienten nachfragen. Vom Einzelzahn bis zur Versorgung des zahnlosen Kiefers.
Wir bieten vielseitige Umsetzungsmöglichkeiten mit einem Höchstmaß an Individualität und persönlicher Betreuung.
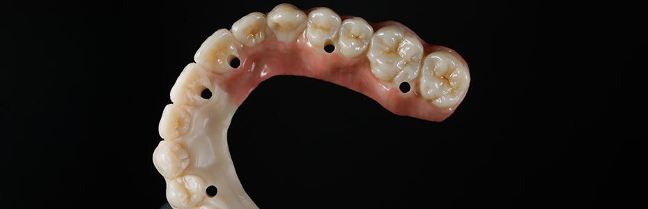
Implantatgetragene Kronen-Brücken zirkon/monolitisch/NEM
ALL-on-4 auf Implantate (Kunststoffzähne, Zirkonkronen/Zahnfleisch -Keramik
Steg Arbeiten NEM gefräst + Stegprothese
Unsere individuellen CAD/CAM Implantatstege werden aus hochwertigem CoCr (NEM) oder Titan gefräst. Die Stegprothesen sind absolut spannungsfrei und bieten bei totalem Zahnverlust eine komfortable und zugleich preiswerte Versorgungsvariante.
Teleskopprothese auf Implantaten
Individualität und Flexibilität für jede Konstruktion, für jeden Patienten.Für herausnehmbaren Implantatgetragenen Zahnersatz bieten wir alle technischen Möglichkeiten. Von Stegen und Geschieben bis zu allen Versionen von präfabrizierten Attachements. Als Experten in der Implantat-Prothetik sind wir in der Lage auch sehr komplexe Lösungen zu bieten. |
|
Bellissimo Dental GmbH

